WALK THE TALK OP-ED SA faces a Cervical Cancer crisis as a woman dies very 67 minutes 4 min 1 By Salomé Meyer
WORLD CANCER DAY OP-ED Lack of awareness a key factor in delayed diagnosis of ovarian cancer 5 min 0 By Celesté van Drünick
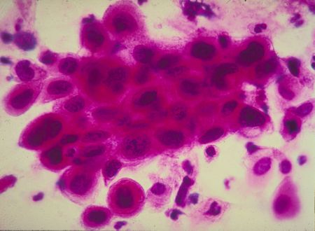
The Conversation What is cervical cancer and how can it be prevented? Answers to key questions 4 min 1 By The Conversation
SPOTLIGHT HPV vaccination switching to single-dose and private schools to get government supply 5 min 0 By Catherine Tomlinson for Spotlight
SELF-SCREENING OP-ED Cervical cancer a disease of poverty and inequity — inclusive treatment access is essential 4 min 2 By Ntombi Sigwebela
BHEKISISA Can South Africa stop cervical cancer in the next 40 years? 6 min 0 By Mohale Moloi for the Bhekisisa Centre for Health Journalism
SPOTLIGHT The state of SA’s HPV vaccination programme in 2023 – successes and setbacks 12 min 0 By Amy Green for Spotlight
HEALING MISSION Labour of love – what drives Mfundo Mabenge, the doctor who rescued a Nelson Mandela Bay maternity unit 4 min 0 By Estelle Ellis
SPOTLIGHT WOMEN IN HEALTH Founder of Black Women Arise on a mission to help women improve their sexual and reproductive health 4 min 0 By Refilwe Mochoari
COMMUNITY-BASED HEALTH RESEARCH Saving women — the powerful work of the Khayelitsha Cervical Cancer Screening Project 7 min 2 By Tamsin Metelerkamp
BHEKISISA CENTRE FOR HEALTH JOURNALISM OP-ED Cervical cancer screening at home could be a game changer 6 min 0 By Salomé Meyer
HEALTHCARE Scorecard on sexual and reproductive health holds SADC member states accountable 4 min 0 By Khumbize Kandodo Chiponda, Elias M Magosi, Beatrice Mutali and Jonathan Gunthorp
SPOTLIGHT Self-collected human papillomavirus tests are feasible — but still a long way off 7 min 0 By Elri Voigt for Spotlight
SPOTLIGHT: ORDER OF THE BAOBAB World expert on cervical cancer Professor Lynette Denny reflects on an extraordinary life of service 7 min 1 By Biénne Huisman for Spotlight
SPOTLIGHT: CERVICAL CANCER What is happening with SA’s relatively new HPV vaccine programme? 7 min 0 By Laura Owings for Spotlight
TOWARDS A DISEASE-FREE FUTURE OP-ED We can eliminate cervical cancer in South Africa – this is how 4 min 0 By Yogan Pillay and Nono Simelela
SPOTLIGHT HIV and cervical cancer: Behind South Africa’s dramatically high numbers 6 min 0 By Elri Voigt
MAVERICK CITIZEN OP-ED Investing in HPV vaccination for boys and girls can take us closer to eliminating cervical cancer 5 min 0 By Salomé Meyer