Dailymaverick logo

Maverick Life

This article is more than a year old

The Conversation

What is cervical cancer and how can it be prevented? Answers to key questions

The human papillomavirus is the primary cause of cervical cancer – but not all infected individuals develop the disease.
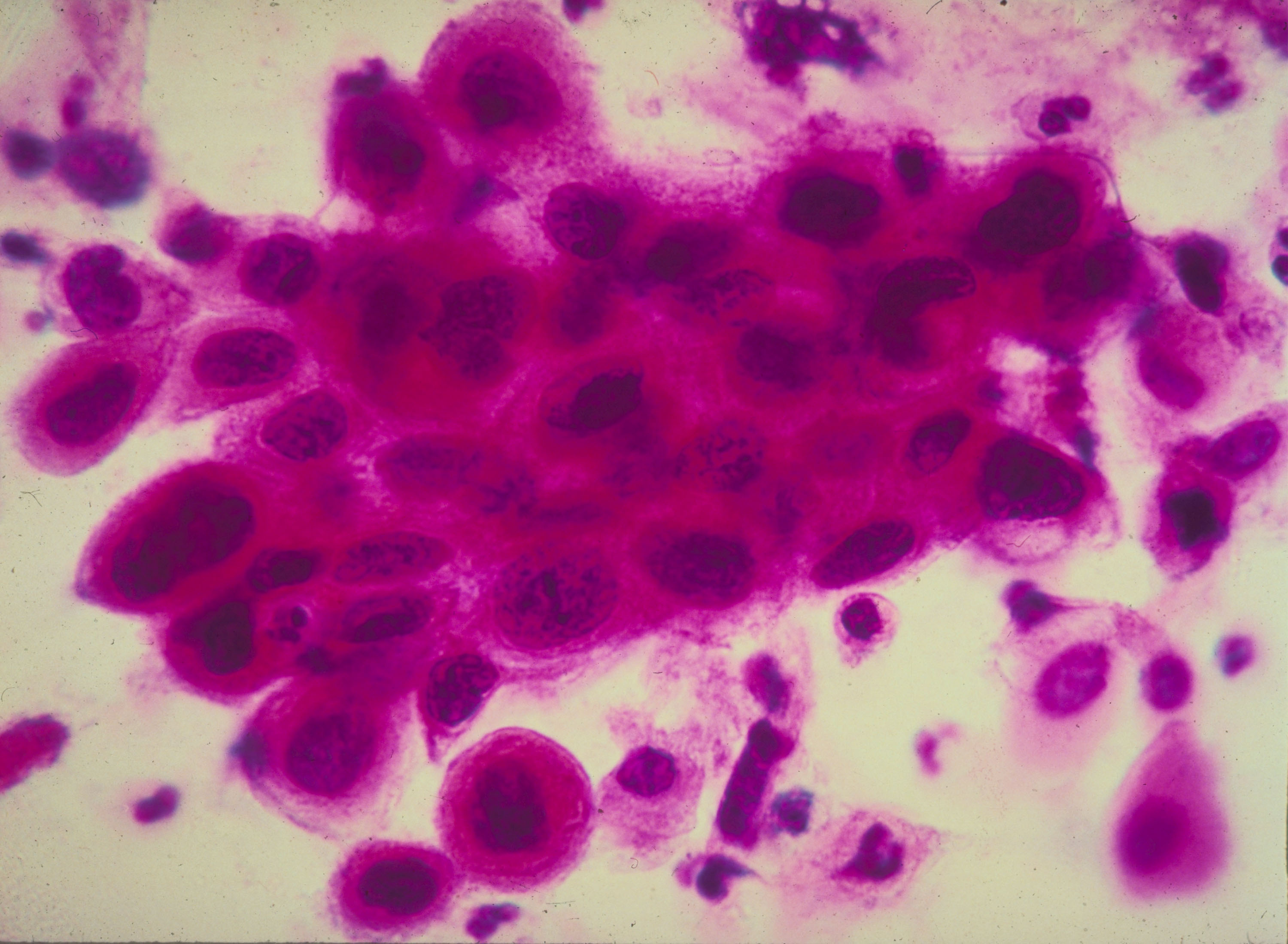
Cancer Images Close up of cancer cells in the cervix. Cancer of the uterine cervix, the portion of the uterus that is attached to the top of the vagina. (Photo by American Cancer Society/Getty Images)

In 2020, the World Health Organization rolled out a global strategy to eradicate cervical cancer by 2030. This is the fourth-most common cancer among women, claiming an estimated 350,000 lives globally in 2022. More than 80,000 of these deaths were recorded in sub-Saharan Africa. Currently, one woman dies every two minutes from this disease, which is caused by the human papillomavirus (HPV). Cervical cancer is preventable. The global strategy has three pillars: getting 90% of girls vaccinated against HPV by age 15; ensuring 70% of women are screened by the age of 45; and having 90% of women with invasive cancer managed. We spoke to a team of researchers and oncologists dedicated to eliminating cervical cancer in Africa for insights into the disease.

What is cervical cancer?

It develops in the cervix, which is the lower part of the uterus, connecting it to the vagina. Nearly 90% of cases stem from persistent infection with the human papillomavirus (HPV), a sexually transmitted infection.

Cervical cells normally divide and grow in a controlled manner. However, during sexual contact with an HPV carrier, the outer cervical cells can become infected. Continuous exposure to the virus alters these cells, causing them to grow uncontrollably and form pre-cancerous lesions (called dysplasia).

These abnormal cells, though not yet cancerous, have the potential to become so if left untreated. This process is gradual and can take years. A woman would likely not notice anything different as there are no symptoms until later stages.

Although HPV is a prevalent infection and the primary cause of cervical cancer, not all infected individuals will develop the disease. Around 90% of infections clear within a year. About 10% are oncogenic, which is when normal cells transform into cancer cells. HPV infections can progress to cervical cancer, or pre-cancer, which means some cells develop abnormalities that make them more likely to become cancerous.

There are more than 100 known strains of HPV. Types 16 and 18 are considered high risk and are the most common strains. They are responsible for over 70% of cervical cancer cases globally.

Who is most at risk?

HPV infection is widespread among sexually active individuals. It often occurs without any symptoms. Its prevalence is notably high among young women in the initial years of sexual activity.

Most new infections resolve spontaneously. But around 10% may persist, leading to the development of pre-cancerous lesions within five to 10 years. In a minority of cases, these lesions progress to invasive cancer over several years or even decades, with the highest risk observed between ages 35 and 55.

Factors such as the early onset of sexual activity and multiple sexual partners increase HPV exposure risk. Smoking also weakens the immune system and cellular integrity, increasing susceptibility to HPV infection. Individuals with compromised immune systems, such as those with HIV or taking immunosuppressive medications, also face heightened challenges in fighting off HPV infection and pre-cancerous cell development.

What can women do to avoid getting cervical cancer?

Regular pap smears are vital for the early detection of pre-cancerous cells. This helps facilitate timely intervention to prevent cervical cancer. Women who don’t get pap smears miss out on this critical opportunity for early detection and intervention.

This has given rise to the effort to “vaccinate the child, screen the mother”. The most effective defence against cervical cancer is HPV vaccination, which protects against strains of the virus most likely to lead to cervical cancer. Mothers are screened using pap smear tests.

Ideally, vaccination should occur before the onset of sexual activity. It’s recommended for preteens (aged 9-15) and can be given up to age 26 for those not previously vaccinated.

In addition, advocating for safe sex, limiting sexual partners and avoiding smoking to reduce HPV exposure risk is important. It’s also advisable to vaccinate both boys and girls to eradicate cervical cancer.

What are the misconceptions about cervical cancer?

There are several prevalent myths about the disease.

One myth is that vaccination causes infertility. There is no scientific evidence to support this myth. Some people don’t like to discuss sexual and reproductive matters openly. There’s a misconception that vaccination is only necessary for promiscuous women, which isn’t true. Past experiences of medical exploitation fuel mistrust in healthcare systems, and scepticism about vaccination campaigns and screening. Embarrassment is a major barrier to screening, alongside fatalism regarding diagnosis, fear of test results and the stigma associated with a cervical cancer diagnosis.

What are the treatment options?

Current guidelines recommend two main approaches for managing women who screen positive for cervical pre-cancer: screen and treat; or screen, diagnose and treat. Both approaches involve an initial screening test, typically a pap smear or HPV test, followed by treatment.

In the screen-and-treat approach, a positive screening test is directly followed by treatment. This is often cryotherapy, which uses cold to freezing temperatures to remove abnormal cells. The other is a loop electrosurgical excision procedure (LEEP), which uses a wire loop heated by electric current to remove abnormal cells and tissue in a woman’s lower genital tract.

The screen-diagnose-and-treat approach involves a confirmatory diagnostic test, such as a biopsy, to determine the severity of the pre-cancerous lesion before proceeding with treatment. Cryotherapy and LEEP are effective treatment options for the majority of women with a positive cervical pre-cancer screening test, depending on the specific characteristics of the pre-cancerous lesion.

Early-stage cancers often involve upfront surgery, typically a radical hysterectomy. This includes removing the uterus, cervix, part of the vagina, and surrounding tissues. It is often followed by radiotherapy to reduce the risk of recurrence. However, for women with low-risk early-stage disease, the standard of care has shifted towards less radical, fertility-preserving surgeries to allow for a woman to have children in the future.

What’s key to eradication?

Overall, eradicating cervical cancer requires vaccination, screening and timely treatment interventions. It can be achieved through collaboration between communities, healthcare providers, international organisations and governments.

Community education campaigns with culturally sensitive messaging can dispel myths and emphasise the importance of HPV vaccination for girls as a preventive measure, not a judgment on sexual behaviour. Building trust is essential. This can be achieved by involving trusted voices like healthcare providers, community leaders and women affected by cervical cancer.

Finally, integrating vaccination into existing healthcare initiatives will streamline access, encourage routine childhood vaccinations and help dispel myths about the HPV vaccine. DM 

This story was first published in The Conversation. Abba Mallum is a Clinical Radiation Oncology Consultant at the University of KwaZulu-Natal. Beatrice M’mboga Akala is a Lecturer at the University of the Witwatersrand. Maureen Bilinga Tendwa is a Researcher at Rhodes University. Rakiya Saidu is a Senior Clinical Research Officer at the University of Cape Town. Stephen Avery is a Professor of Radiation Oncology at the University of Pennsylvania. Twalib Ngoma is a Consultant Clinical Oncologist at the Muhimbili University of Health and Allied Sciences. Wil Ngwa is an Associate Professor of Radiation Oncology and Molecular Radiation Sciences at Johns Hopkins University.

Comments

Loading your account…
f***1@g***.com 29 June 2024 04:40 AM

that was nice